Área do Dentista
Home
Sobre
Exames
Contato
Home
Sobre
Exames
Contato
Área do Dentista
(61) - 3055-9409
(61) - 3055-9409
premieradiologia@gmail.com
Exames
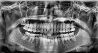
Panorâmica
Panorâmica
Panorâmica
Panorâmica
Panorâmica
Panorâmica